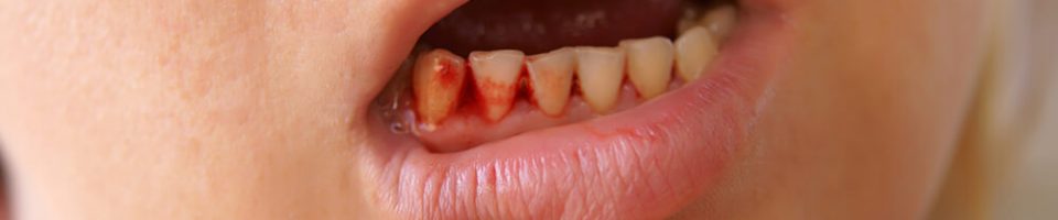
Many people used to pick tooth just to clear the food stuck in their teeth, especially after eating. Some people have even seen it as a habit they have to do after every meal. Meanwhile, most of them are oblivious of the danger involved in this act. However, here are 5 reasons why tooth picking is bad for your oral health.

It was introduced by cavemen who didn’t have resources back then to take care of their dental care needs. All they can afford was to have a twig or a small branch of a plant to use as their means to clean their teeth. However, at this day and age it is surprising that a lot of people are still into tooth picking given that it is already proven to be hazardous to one’s oral health. This reason may not be related to oral health, but it is an action that is just not good to look at. Perhaps if you lived back in the time of cavemen, then such action would be justifiable, but it’s 2014 and we already have dental flossers. People often overlook the health hazards that it can probably give them. There are no implemented rules that prevent people from using toothpicks. All we have are constant reminders from dentists, health care facilities and concerned citizens such as myself in order to inform everyone out there that tooth picking is bad for oral health.
Come in for a consultation and find out all about the best cosmetic dentistry in Beverly Hills. Let Rifkin Raanan help you own your smile.
Call Now 310-205-5300 / Book an Appointment